Equipamiento, estudios y tecnología aplicados al diagnóstico por imagen dental.
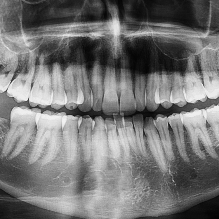
Panorámica digital – Diagnóstico inicial
Cefalométrica digital – Planificación ortodóncica
Cortes CBCT – Evaluación por especialidad
Reconstrucción 3D (CBCT) – Visualización clínica
Equipo de radiología dental – Cabina
Equipo CBCT dental
TESTIMONIOS
La atención fue muy clara y profesional. Me explicaron el estudio antes de hacerlo y la toma fue rápida y cómoda. Los resultados los recibí el mismo día y mi odontólogo pudo revisarlos sin problema.
María P./ Paciente
Trabajo con CIREX 3D porque las imágenes son nítidas y confiables. El CBCT y las reconstrucciones 3D facilitan mucho la planificación de implantes y ortodoncia. Además, la entrega digital es muy ágil.
Dr. Andrés L./ Odontólogo
La combinación de CBCT, trazados y modelos digitales permite evaluar cada caso con mayor precisión. CIREX 3D mantiene protocolos claros y una comunicación fluida con el profesional.