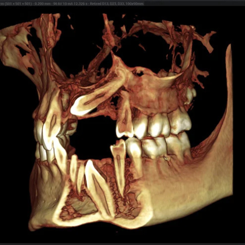
Realizamos estudios radiológicos 2D y tomografías 3D con tecnología CBCT e inteligencia artificial, enfocados en diagnósticos precisos, seguros y confiables para pacientes y odontólogos.
✔ Menor radiación y mayor calidad de imagen
✔ Resultados digitales rápidos y fáciles de compartir
✔ Estudios especializados para ortodoncia, implantología, endodoncia y ATM

Somos un centro de imagen dental enfocado en precisión clínica, seguridad del paciente y entrega digital eficiente.
Te atendemos con rapidez. Si tienes orden médica, envíala por WhatsApp y te guiamos.
📞 099 997 3649
📞 097 901 6824
WhatsApp disponible en horario laboral
Calderón, Quito
Centro de Imagen y Radiología Dental.
Lunes a viernes: 08h00 – 18h00
Sábados: 08h00 – 13h00
Domingos: no atendemos